뇌조직, 3시간 이내 혈액 재공급이 재생 열쇠
admin
발행일 2009.12.18. 00:00
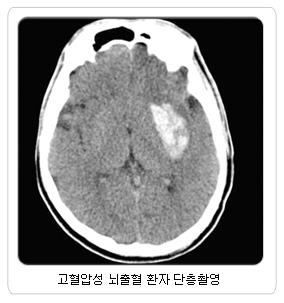
고혈압성 뇌출혈은 혈압조절로 예방하는 것이 가장 중요 우리 인체 중 뇌는 1.2kg 밖에 되지 않으나 전체 혈액량의 1/4을 사용하는 혈관이 매우 풍부한 조직입니다. 풍부한 혈관에 문제가 발생하여 혈류의 이상이 발생된 경우를 뇌졸중이라 합니다. 뇌졸중은 뇌혈관이 막혀 뇌경색증이 발생하거나 혹은 뇌혈관이 터져 뇌출혈이 발생되는 병이고 과거엔 중풍이라고 불리던 병입니다. 이렇게 터지거나 막히는 반대되는 개념의 질환을 모두 뇌졸중이라 부르는 이유는 증상이 유사하기 때문입니다. 증상으로는 병변 부위에 따른 다양한 신경학적 증상부터 언어장애, 반신마비, 심지어는 사망에 이를 수 있는 다양한 증상을 나타냅니다. 그러면 뇌졸중의 대표질환인 고혈압성 뇌출혈, 뇌동맥류 파열, 뇌경색증에 대하여 알아보겠습니다. 고혈압성 뇌출혈의 위험인자로는 고령, 고혈압, 뇌경색의 병력, 심장의 관상동맥 질환, 당뇨병 등이 있습니다. 이 중 가장 중요한 원인은 만성 고혈압으로 혈압 상승의 정도와 기간에 관련이 있습니다. 즉 고혈압 수치가 높거나 고혈압의 기간이 길수록 많이 발생합니다. 고혈압성 뇌출혈이 발생되는 동맥은 직경이 큰 뇌동맥이 아니라 대부분 크기가 작은 관통동맥에서 발생합니다. 관통동맥은 분지가 되지 않아 단계적인 압력의 감소가 일어나지 않으므로 혈관 내압이 높고 고혈압에 의한 혈관 손상에 취약하므로 이 부위에서 고혈압성 뇌출혈이 발생하게 됩니다. 고혈압성 뇌출혈이 발생된 환자는 병원에서 뇌수술을 포함한 다양한 방법으로 치료하게 되지만 많은 환자에서 뇌출혈의 후유증으로 본인과 가족이 고통 받게 됩니다. 그러므로 고혈압성 뇌출혈은 혈압조절로 예방하는 것이 가장 중요하다 하겠습니다.
뇌 안의 시한폭탄 뇌동맥류…인구 10만 명당 10명 정도에서 발생 뇌동맥류란 뇌동맥에 꽈리처럼 부풀어 오른 부분을 말합니다. 우리가 풍선을 불 때 불량품인 풍선은 부풀어 오른 풍선 옆에 혹처럼 부풀어 오르는 부분이 있는 경우가 있습니다. 뇌동맥에 이런 부분을 뇌동맥류라 합니다. 동맥의 벽은 두꺼운데 반하여 동맥류의 막은 대단히 얇아 언제든 터질 준비가 되어 있는 것입니다. 이런 뇌동맥류는 뇌 안의 시한폭탄이라고 표현됩니다. 고혈압성 뇌출혈은 크기가 작은 관통동맥에서 발생하는 반면, 뇌동맥류는 크기가 큰 뇌동맥에서 발생합니다. 그러므로 한번 터지면 심대한 증상과 나쁜 예후를 보이는 경우가 많습니다. 그러나 터지기 전에는 아무런 증상을 유발하지 않는 경우가 대부분입니다. 그렇기 때문에 뇌동맥류를 뇌 안의 시한폭탄이란 표현을 쓰고 있습니다. 대개 인구 10만 명당 10명 정도에서 발생하며, 일부 유전학적 요인과 대부분의 뇌혈류 역동학적 문제가 원인으로 밝혀지고 있습니다. 동맥류는 한번 파열되면 큰동맥에서 막대한 출혈이 발생되므로 터지기 전에 치료하는 것이 환자의 예후에 훨씬 유리합니다. 그런데 이 뇌동맥류는 터지기 전에는 증상을 유발하지 않으므로 뇌동맥류의 발견이 쉽지 않습니다. 과거에는 환자가 입원해야만 검사할 수 있는 침습적인 방법인 동맥 촬영술로만 확인할 수밖에 없었지만 최근에는 입원하지 않고 외래에서 CT나 MRI로도 혈관촬영을 하여 확인할 수 있습니다. 치료는 두개골을 열고 넥타이 핀 같은 것으로 뇌동맥류를 결찰하는 방법이 전통적인 수술 방법이고 최근에는 두개골을 열지 않고 동맥 내에 가느다란 도관을 이용하여 코일을 동맥류에 넣어주어 동맥류를 막아주는 방법도 이용되고 있습니다. 고혈압, 심장질환, 당뇨병, 흡연, 고지혈증 적극 치료하여 뇌경색증 예방해야
그러므로 위험인자인 고혈압, 심장질환, 당뇨병, 흡연, 고지혈증의 적극적인 치료로 뇌경색증을 예방하는 것이 중요합니다. 그럼에도 불구하고 뇌경색증이 발생했다면 가장 중요한 것은 빠른 시간 내에 치료를 시작하는 것입니다. 뇌조직은 혈액 공급이 막힌 후 3시간 이내에 혈액이 재공급되면 다시 살아납니다. 그러므로 급성 뇌경색증 환자의 치료는 시간과의 싸움입니다. 통상 증상 발생 후 3시간 이내라면 혈관을 뚫어주는 주사액을 정맥주사 하면 뇌경색이 풀리게 됩니다. 만약 3시간에서 6시간 사이라면 동맥 촬영술로 막힌 부위를 찾아내어 가는 도관을 이용해 막힌 부위까지 도관을 접근시켜 뚫어주는 방법을 쓰고 여의치 않을 때는 스텐트란 관을 설치하여 동맥에 혈류가 다시 흐르게 하면 뇌경색이 풀리게 되는 경우가 많습니다. 그러나 이 시간 때를 놓치면 약물주입으로 뇌출혈만 발생시키게 되어 적극적인 치료가 불가능합니다. 그러므로 뇌경색증 증상이 발견되면 조금도 시간을 지체하지 말고 이 같은 시술이 가능한 일정규모 이상의 병원으로 후송하는 것이 환자의 예후에 가장 중요합니다. 글∥송관영(서울의료원 신경외과 주임과장) |





댓글은 자유로운 의견 공유의 장이므로 서울시에 대한 신고, 제안, 건의 등
답변이나 개선이 필요한 사항에 대해서는 전자민원 응답소 누리집을 이용하여 주시기 바랍니다.
상업성 광고, 저작권 침해, 저속한 표현, 특정인에 대한 비방, 명예훼손, 정치적 목적,
응답소 누리집 바로가기유사한 내용의 반복적 글, 개인정보 유출,그 밖에 공익을 저해하거나 운영 취지에 맞지
않는 댓글은 서울특별시 조례 및 개인정보보호법에 의해 통보없이 삭제될 수 있습니다.